#SootinClaimon.Com : ขอบคุณแหล่งข้อมูล : หนังสือพิมพ์แนวหน้า
https://www.naewna.com/likesara/586303

‘หมอนิษฐา’เปิดภาพปอดผู้ป่วยโควิด 9 วัน กว่าจะได้ตรวจ เนื้อปอดโดนกินไปเยอะแล้ว
วันศุกร์ ที่ 9 กรกฎาคม พ.ศ. 2564, 12.49 น.
วันที่ 9 กรกฎาคม 2564 พญ.นิษฐา เอื้ออารีมิตร แพทย์อายุรศาสตร์โรคระบบทางเดินหายใจโพสต์ข้อความผ่านเฟซบุ๊ก Nittha Oer-areemitr ระบุว่า การไม่ให้เค้าตรวจไม่ใช่ทางออก!!!
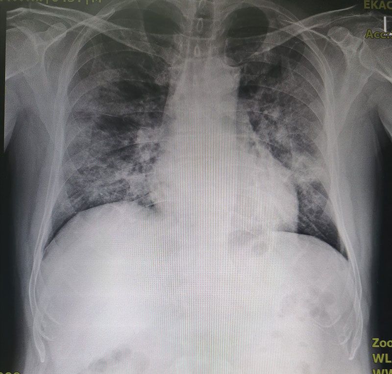
ชัดเจนมากว่า ตอนนี้ทุกเคสที่มา คือมาช้ามากๆ เพราะเค้าตระเวรไปหลายที่แล้ว หาไม่ได้ สุดท้ายก็หอบ…มาถึงรพ ก็ต้องทำให้เค้าอยู่ดี แล้วผลการรักษาก็แย่เพราะมาถึงช้า นี่คือภาพฟิลม์คนไข้ ที่ ARI clinic พร้อมประวัติ ป่วยมา 9 วัน ไปที่ไหนก็ไม่มีใครตรวจให้ จนต้องมาที่นี่…..
อยากให้ผู้มีอำนาจ แก้ไขสิ่งนี้โดยด่วน ตรวจให้เยอะ แยกให้เร็ว หาเตียงเหลือง ส้ม ให้พอ เพื่อป้องกันหรือลดการเกิดเคสแดงให้ได้มากที่สุด บอกเลย ทุกวันนี้ แลปกทม.ตรวจไม่ถึงครึ่งของศักยภาพที่ทำได้หรอก เพราะกฏ เพี้ยนๆ ที่ต้อง admit ให้ได้ใน 24 ชม. บ่นมาตั้งแต่ Season สมุทรสาคร ตอนนี้ก็ยังเหมือนเดิม
