#SootinClaimon.Com : ขอบคุณแหล่งข้อมูล : หนังสือพิมพ์แนวหน้า
https://www.naewna.com/likesara/603844

วันพุธ ที่ 22 กันยายน พ.ศ. 2564, 12.50 น.
ผู้หญิง 1 ใน 6 คนเคยมีปัญหาปวดท้องน้อยเรื้อรัง และเป็นอาการลำดับต้นๆ ที่ทำให้ต้องมาตรวจทางนรีเวช การปวดท้องน้อยเรื้อรังก่อให้เกิดผลกระทบหลายด้าน เช่น การทำงาน ความมั่นใจ รวมถึงการใช้ชีวิตคู่
อาการปวดท้องน้อยเรื้อรัง คือมีอาการปวดท้องบริเวณใต้สะดือ หัวหน่าว ปวดเอว ปวดหลัง เป็นระยะเวลานานมากกว่า 6 เดือน สาเหตุหลักมาจากโรคทางนรีเวช เช่นภาวะเยื่อบุมดลูกเจริญผิดที่ (endometriosis) หรือโรคพังผืดในอุ้งเชิงกราน แต่ระบบอื่นอาจเป็นสาเหตุของอาการปวดท้องน้อยได้ เช่น ระบบทางเดินอาหาร ระบบทางเดินปัสสาวะ ระบบกระดูกและกล้ามเนื้อ รวมถึงระบบเส้นเลือด แล้ว…เส้นเลือดเกี่ยวข้องอะไรกับการปวดท้องน้อยล่ะ?
.jpg)
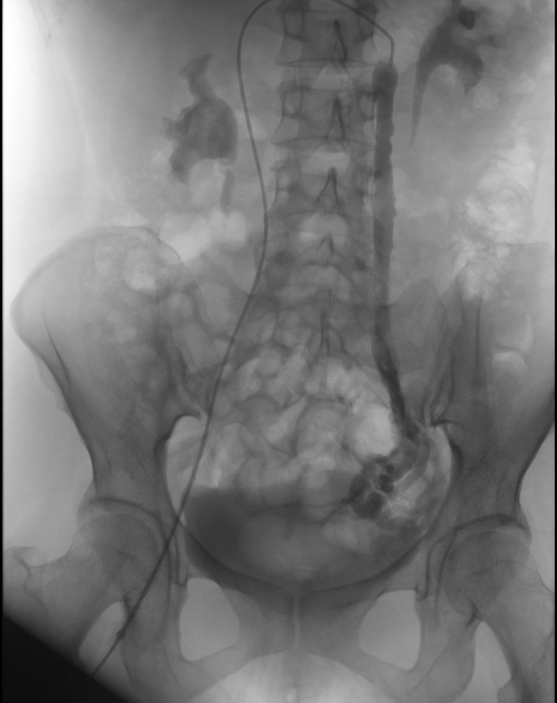
จากข้อมูลทางการแพทย์พบว่า ร้อยละ 30 ของอาการปวดท้องน้อยเรื้อรังมีสาเหตุมาจาก “โรคเส้นเลือดขอดในอุ้งเชิงกราน (Pelvic venous disorders)” เกิดจากเส้นเลือดดำมีการส่งผ่านเลือดไปยังหัวใจผิดปกติ มีการไหลย้อนกลับของเลือด เกิดการคั่งของเลือดในอวัยวะภายในอุ้งเชิงกราน เช่น ไต มดลูก ปีกมดลูก รังไข่ กระเพาะปัสสาวะ ลำไส้ใหญ่ และกล้ามเนื้อหูรูด สาเหตุหลักมาจากการเสื่อมสภาพของผนังเส้นเลือด หรือมีการตีบตันภายในเส้นเลือด ในอดีตโรคนี้มักถูกมองข้ามในการให้การวินิจฉัย แต่เป็นที่น่าดีใจว่าในช่วง 10 ปีที่ผ่านมามีความรุดหน้าในการศึกษาวิจัย รวมถึงพัฒนาเทคนิคการรักษาโรคนี้อย่างกว้างขวาง ทำให้เกิดความแม่นยำในการวินิจฉัยโรคมากขึ้น ส่งผลให้ผู้ป่วยได้รับการรักษาอย่างตรงจุด ลดอาการปวดท้องน้อยได้อย่างมีประสิทธิภาพ
.jpg)
อาการของโรคเส้นเลือดขอดในอุ้งเชิงกราน คือ ปวดเอว อาการปวดท้องน้อยเรื้อรังที่ไม่สัมพันธ์กับรอบเดือน ปวดท้องน้อยขณะยืน หรือเดินเป็นเวลานาน ปวดท้องน้อยหลังจากการมีเพศสัมพันธ์ กล้ามเนื้อหูรูดผิดปกติ ปัสสาวะเล็ด ปัสสาวะเป็นเลือด ต่อมลูกหมากอักเสบเรื้อรัง ปวดหน่วงทวารหนัก ริดสีดวงทวารหนัก หรืออาจพบเส้นเลือดขอดบริเวณขาหนีบ หรืออวัยวะเพศ อาการเหล่านี้จะเป็นทุกวัน และมักเป็นช่วงบ่าย หรือเย็นของวัน

การตรวจวินิจฉัยทำได้หลายวิธี เช่น การ Ultrasound หรือ CT scan แต่การวินิจฉัยที่ให้ความแม่นยำได้มากสุดคือ การฉีดสารทึบแสงเข้าสู่หลอดเลือดดำ (Venography) ทำโดยการใช้ยาชาเฉพาะที่ แพทย์จะทำการแทงเข็มขนาดเล็ก (แผลขนาดประมาณ 1-2 มม.) ผ่านทางเส้นเลือดดำบริเวณคอ หรือขาหนีบ หลังจากนั้นทำการใส่สายสวนเส้นเลือดแล้วฉีดสารทึบแสง เพื่อตรวจสอบขนาด และทิศทางการไหลของเลือดภายในอุ้งเชิงกราน ทำให้ทราบถึงเส้นเลือดที่มีความผิดปกติ ข้อดีของการตรวจวิธีนี้คือ เมื่อแพทย์พบเส้นเลือดที่มีความผิดปกติ แพทย์สามารถให้การรักษาได้ในทันที
การรักษาเริ่มตั้งแต่การใช้ยาเพื่อควบคุมอาการ การผูกเส้นเลือด แต่การรักษาที่เป็นมาตรฐานในปัจจุบันคือ การอุดเส้นเลือด (Embolization) โดยใช้วัสดุอุดเส้นเลือด หรือสารระคายเคือง (sclerosant) พบว่าให้ผลการรักษาเป็นที่น่าพอใจ 75-80% ของผู้ป่วยมีอาการปวดท้องน้อยดีขึ้น สามารถทำกิจวัตรประจำวันได้ตามปกติ มีคุณภาพชีวิตที่ดีขึ้น และมีผลข้างเคียงจากการรักษาต่ำเพียง 1%
อย่าลืมนะครับ หากท่านเป็นผู้หนึ่งที่มีอาการปวดท้องน้อยเรื้อรัง และหาสาเหตุอื่นไม่พบ ท่านสามารถปรึกษาแพทย์ เพื่อขอคำแนะนำเรื่อง “เส้นเลือดขอดในอุ้งเชิงกราน” ได้ครับ
บทความโดย ผศ.นพ.เทิดภูมิ เบญญากร
ศัลยแพทย์หลอดเลือด รพ.ธรรมศาสตร์เฉลิมพระเกียรติ