#SootinClaimon.Com : ขอบคุณแหล่งข้อมูล : หนังสือพิมพ์แนวหน้า
https://www.naewna.com/likesara/680481

อุทาหรณ์!! จุดธูปบ่อย สูดควันนาน 6 ปี หญิงไม่ได้สูบบุหรี่ ไม่มีอาการ แต่ป่วยมะเร็งปอด
วันศุกร์ ที่ 16 กันยายน พ.ศ. 2565, 15.07 น.
16 ก.ย.65 นพ.มนูญ ลีเชวงวงศ์ แพทย์เฉพาะทางด้านโรคระบบการหายใจ โรงพยาบาลวิชัยยุทธ โพสต์ข้อความในเพจเฟซบุ๊ก หมอมนูญ ลีเชวงวงศ์ FC เผยเคสอุทาหรณ์ หญิงป่วยมะเร็งปอด โดยที่ไม่มีอาการ และไม่ได้สูบบุหรี่
โดยข้อความระบุว่า “มะเร็งปอดเป็นมะเร็งที่พบบ่อย ถ้าพบเร็วในระยะแรก ระยะ 1-2 สามารถรักษาให้หายขาดได้ด้วยการผ่าตัด
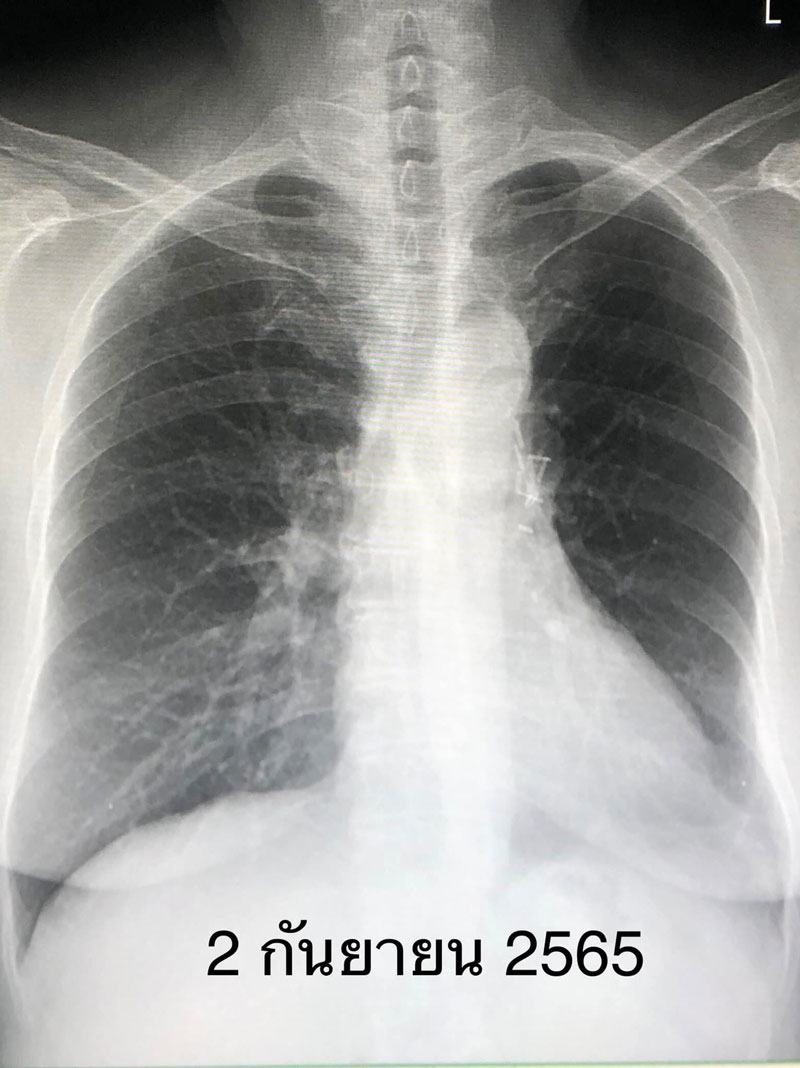
ผู้ป่วยหญิงอายุ 65 ปี เมื่อ 7 ปีก่อน ตรวจร่างกายประจำปี และเอกซเรย์ปอดทุกปี พบก้อนเล็กๆที่ปอดข้างซ้ายด้านบน ผ่านไป 1 ปีก้อนนี้โตขึ้น (ดูรูป) จึงมาปรึกษา ผู้ป่วยไม่มีอาการ ไม่ไอ ไม่มีไข้ ไม่เหนื่อย ไม่เจ็บหน้าอก น้ำหนักไม่ลด เป็นโรคความดันโลหิตสูง ไม่สูบบุหรี่
.jpg)
แต่จุดธูป 20 ดอกในที่ทำงานทุกวันพฤหัสต่อเนื่อง 6 ปี ทำคอมพิวเตอร์สแกนปอดพบก้อนที่ปอดข้างซ้ายด้านบน ค่ามะเร็งในเลือดปกติ ทำ PET scan สงสัยเนื้องอกเป็นมะเร็งปอด ไม่กระจายไปอวัยวะอื่น ส่องกล้องเข้าไปดูในหลอดลม ไม่พบอะไรผิดปกติ
ได้ทำการผ่าตัดปอดโดยวิธีส่องกล้องเมื่อวันที่ 7 มีนาคม 2558 ตัดปอดกลีบบนข้างซ้ายออก และตัดชิ้นเนื้อจากต่อมน้ำเหลืองที่ขั้วปอด และรอบๆเนื้องอก ผลพยาธิวิทยาเป็นมะเร็งปอดขนาด 4 เซนติเมตร ชนิด adenocarcinoma ยังไม่กระจายเข้าต่อมน้ำเหลือง
สรุป: ผู้ป่วยรายนี้ไม่มีอาการ ไม่เคยสูบบุหรี่ แต่หายใจควันธูปต่อเนื่อง เป็นมะเร็งปอดระยะ 2A ( มะเร็งปอดระยะ 2A คือมะเร็งขนาด 4-5 เซนติเมตร และไม่แพร่กระจายเข้าต่อมน้ำเหลือง หลังผ่าตัดมีโอกาสรอดชีวิตที่ 5 ปี ร้อยละ 60 ) ติดตามผู้ป่วย 7 ปีหลังผ่าตัด ไม่พบมะเร็งปอดกลับมาใหม่ ถือว่าหายขาดจากโรคนี้ (ดูรูป) ผู้ป่วยได้เลิกจุดธูปหลังผ่าตัดปอด”.-008
.jpg)
.jpg)