#SootinClaimon.Com : ขอบคุณแหล่งข้อมูล : หนังสือพิมพ์แนวหน้า
https://www.naewna.com/lady/528992

‘ปอดบวม’ โรคยอดฮิตที่มาพร้อมลมหนาว
วันจันทร์ ที่ 2 พฤศจิกายน พ.ศ. 2563, 06.00 น.
กรมอุตุนิยมวิทยา ประกาศแล้วว่าปีนี้ประเทศไทยฤดูหนาวจะมาไวกว่าปกติ ซึ่งสภาพอากาศที่เย็นลงอาจส่งผลให้เกิดโรคภัยต่างๆ ได้ง่ายโดยเฉพาะโรคสุดฮิตอย่าง “โรคปอดบวม” ที่เกิดจากการติดเชื้อในปอด อาจเป็นได้ทั้งเชื้อแบคทีเรีย เชื้อไวรัส หรือเชื้อรา แม้จะเป็นโรคที่สามารถรักษาให้หายได้เพราะมีวัคซีนป้องกันและยารักษา แต่ก็มีความเสี่ยงในการเสียชีวิตสูงเช่นเดียวกัน ล่าสุดองค์การอนามัยโลกได้เปิดเผยตัวเลขว่ามีเด็กจำนวนกว่า 800,000 คนต่อปี เสียชีวิตด้วยโรคปอดบวม
รศ.นพ.ธีระศักดิ์ แก้วอมตวงศ์สาขาวิชาโรคระบบการหายใจและเวชบำบัดวิกฤติ ภาควิชาอายุรศาสตร์ คณะแพทยศาสตร์ โรงพยาบาลรามาธิบดี มหาวิทยาลัยมหิดล ให้ข้อมูลว่า โรคปอดบวมสามารถสังเกตได้จากผู้ป่วยจะมีอาการ ไอ เจ็บหน้าอก เหนื่อย หอบ หายใจลำบาก บางคนอาจมีอาการไข้หนาวสั่นร่วมด้วย โดยเฉพาะผู้สูงอายุที่มีอายุตั้งแต่ 65 ปีขึ้นไป และเด็กเล็กที่มีอายุน้อยกว่า 5 ขวบถือว่าเป็นกลุ่มเสี่ยงที่สำคัญและมีอัตราการเสียชีวิตสูง นอกจากนี้ผู้ที่มีโรคประจำตัว หรือผู้ที่มีภูมิคุ้มกันบกพร่อง ก็จัดอยู่ในกลุ่มเสี่ยงเช่นกัน
โรคปอดบวมคือโรคที่เกิดจากการติดเชื้อทางเดินหายใจชนิดหนึ่งเช่นเดียวกับไข้หวัดทั่วไป โดยสามารถติดต่อกันผ่านการไอ จาม น้ำมูกหรือสัมผัสสารคัดหลั่งต่างๆ ของผู้ที่ติดเชื้อ ดังนั้น วิธีป้องกันที่มีประสิทธิภาพที่สุดก็คือเริ่มจากตัวผู้ป่วย โดยต้องใส่หน้ากากอนามัยหากต้องไปในที่สาธารณะหรือที่ที่ผู้คนแออัด เพื่อลดการแพร่กระจายของเชื้อ ส่วนคนรอบข้างก็สามารถป้องกันตัวเองได้ด้วยการล้างมือบ่อยๆ ใส่หน้ากากอนามัยหากต้องอยู่ใกล้กับผู้ป่วย อีกทั้งในปัจจุบันยังมีวัคซีนป้องกันโรคปอดบวมที่สามารถเข้ารับการฉีดได้จากโรงพยาบาลชั้นนำทั่วประเทศ
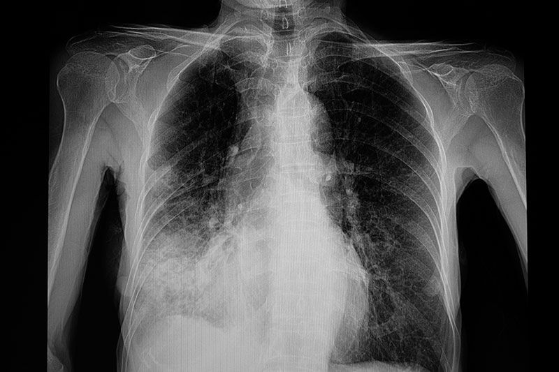
อย่างไรก็ตาม หากเป็นแล้วเสี่ยงเสียชีวิตหรือไม่ คนที่เสียชีวิตด้วยโรคปอดบวมนั้น สาเหตุส่วนใหญ่มาจากปอดมีการอักเสบรุนแรงและติดเชื้อในกระแสเลือด เนื่องจากได้รับการรักษาช้า รวมถึงยังเป็นผู้ที่อยู่ในกลุ่มเสี่ยงเบื้องต้นตามที่กล่าวมา แต่แท้จริงแล้วโรคปอดบวมเป็นโรคที่สามารถรักษาให้หายขาดได้หากได้รับการรักษาที่ทันท่วงที หากใครที่มีอาการเข้าข่ายแพทย์จะทำการเอกซเรย์ปอดเพื่อหาความผิดปกติ โดยสังเกตได้จากปอดจะมีฝ้าสีขาวอย่างชัดเจน แต่ในผู้ป่วยระยะเบื้องต้นจะมีความยากตรงที่การเอกซเรย์จะยังเห็นฝ้าไม่ชัดมากนัก ดังนั้น จึงต้องใช้วิธีติดตามอาการแล้วมาเอกซเรย์ในครั้งถัดไป


