ศาสตร์เกษตรดินปุ๋ย : ขอบคุณแหล่งข้อมูล : หนังสือพิมพ์แนวหน้า
https://www.naewna.com/lady/438141

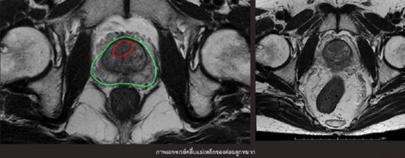
มะเร็งต่อมลูกหมากรู้ไวเพิ่มโอกาสหายขาด ด้วยเทคโนโลยีตัดชิ้นเนื้อโดยใช้ภาพเอกซเรย์คลื่นแม่เหล็ก
ในบรรดาอวัยวะที่เกี่ยวข้องกับระบบสืบพันธุ์และปัสสาวะเพศชาย ต่อมลูกหมากเป็นอวัยวะหนึ่งที่พบการเกิดมะเร็งได้บ่อยครั้งมะเร็งต่อมลูกหมาก (Prostate Cancer) เป็นโรคที่มีแนวโน้มจะพบมากขึ้นอย่างต่อเนื่องในประชากรทั่วโลก โดยเฉพาะในประเทศสหรัฐอเมริกาที่มีผู้ป่วยโรคนี้มากเป็นอันดับ 1 นำหน้ามะเร็งปอด ขณะที่ประเทศไทยพบผู้ป่วยมะเร็งต่อมลูกหมากมากเป็นอันดับที่ 4-5 แต่ด้วยเทคโนโลยีทางการแพทย์ที่ก้าวหน้าไปอย่างไม่หยุดยั้ง ปัจจุบันจึงมีวิธีการที่ทำให้แพทย์สามารถวินิจฉัยมะเร็งต่อมลูกหมากได้ตั้งแต่ระยะเริ่มต้นและแม่นยำมากกว่าในอดีต ผู้ป่วยจึงสามารถเข้าสู่ระบบการรักษาได้อย่างรวดเร็ว อีกทั้งยังมีแนวโน้มหายขาดจากโรคได้มากขึ้นด้วย
นพ.จุลินทร์ โอภานุรักษ์ ศัลยแพทย์ผู้เชี่ยวชาญระบบทางเดินปัสสาวะหน่วยศัลยศาสตร์ระบบปัสสาวะ ฝ่ายศัลยศาสตร์ โรงพยาบาลจุฬาลงกรณ์ สภากาชาดไทย เล่าถึงความก้าวหน้าในการตรวจวินิจฉัยมะเร็งต่อมลูกหมากของหน่วยศัลยศาสตร์ระบบปัสสาวะ ในคอลัมน์ บอกเล่าก้าวทันหมอ วารสารฬ. รพ.จุฬาฯ ว่า ในช่วงระยะเวลา 5 ปีที่ผ่านมาโรงพยาบาลจุฬาลงกรณ์เป็นโรงพยาบาลแห่งแรกๆ ของประเทศไทยที่แพทย์สามารถใช้วิธีตัดชิ้นเนื้อจากต่อมลูกหมากโดยใช้ภาพเอกซเรย์คลื่นแม่เหล็ก (MRI Fusion with Transrectal Ultrasound for Prostate Biopsy) ในการตรวจคัดกรองวินิจฉัยโรคมะเร็งต่อมลูกหมาก ช่วยให้การตรวจคัดกรองมะเร็งในแต่ละครั้งนั้นแม่นยำมากขึ้นถึงร้อยละ 80-90 จากเดิมที่ต้องพึ่งพาวิธีการเจาะเลือดหาค่าแอนติเจนต่อมลูกหมาก (Prostate-Specific Antigen: PSA) และใช้เข็มสุ่มตัดชิ้นเนื้อจากต่อมลูกหมากที่ให้ความแม่นยำประมาณร้อยละ 60 เท่านั้น
สำหรับการเจาะเลือดหาค่า PSA เป็นวิธีการแบบดั้งเดิมในการตรวจคัดกรองวินิจฉัยมะเร็งต่อมลูกหมาก หากผู้ป่วยรายใดมีผลเลือดที่มีค่า PSA สูงหมายถึงมีแนวโน้มบ่งชี้ว่าอาจเป็นมะเร็งต่อมลูกหมาก แพทย์จะทำการเจาะชิ้นเนื้อที่บริเวณต่อมลูกหมากไปตรวจวินิจฉัยด้วยการสอดเครื่องมืออัลตราซาวนด์เข้าไปทางทวารหนักของผู้ป่วย เพื่อดูรูปร่างของต่อมลูกหมากก่อนจะใช้เข็มเข้าไปเจาะตัดชิ้นเนื้อแบบ “สุ่มตัด” ในตำแหน่งที่เชื่อว่าพบมะเร็งต่อมลูกหมากบ่อยๆ ทำให้ผู้ป่วยบางรายต้องกลับมาเจาะเลือดเพื่อหาค่า PSA ซ้ำอีกครั้ง เพราะยังตรวจไม่พบมะเร็งต่อมลูกหมากในการตรวจครั้งแรก
ด้วยเหตุผลดังกล่าวข้างต้น จึงมีการนำเอาเทคโนโลยีภาพเอกซเรย์คลื่นแม่เหล็กมาใช้ในการบ่งชี้ความผิดปกติของต่อมลูกหมาก รวมทั้งช่วยบอกความผิดปกติที่พบว่ามีแนวโน้มจะเป็นมะเร็งมากน้อยเพียงใด ซึ่งเมื่อได้ภาพเอกซเรย์คลื่นแม่เหล็กเรียบร้อยแล้ว แพทย์ก็จะนำเข็มเจาะเข้าไปยังบริเวณที่เกิดความผิดปกติของต่อมลูกหมากได้อย่างแม่นยำ เปรียบได้กับการมีแผนที่นำทางให้แพทย์หาตำแหน่งก้อนมะเร็งในต่อมลูกหมากได้สะดวกยิ่งขึ้น อาจกล่าวได้ว่าเป็นการใช้เทคโนโลยีการสร้างภาพ 3 มิติ พร้อมการทำอัลตราซาวนด์แบบ Real-time ช่วยให้แพทย์มองเห็นรายละเอียดและตำแหน่งของก้อนมะเร็งในต่อมลูกหมากได้อย่างชัดเจน ทำให้สามารถกำหนดบริเวณที่จะตัดชิ้นเนื้อออกมาตรวจวินิจฉัยได้อย่างแม่นยำโดยไม่ต้องใช้วิธีการสุ่มตัดแบบเดิมอีกต่อไป
แต่อย่างไรก็ตาม วิธีการตัดชิ้นเนื้อจากต่อมลูกหมากโดยใช้ภาพเอกซเรย์คลื่นแม่เหล็กต้องใช้เวลาในการทำหัตถการนานกว่าการสุ่มตัดชิ้นเนื้อแบบปกติ เพราะต้องใช้จำนวนเข็มที่มากกว่า รวมถึงตำแหน่งที่ตัดมักเป็นตำแหน่งที่อาจทำให้ผู้ป่วยรู้สึกเจ็บปวดมาก แพทย์จึงจำเป็นต้องให้ยาสลบแก่ผู้ป่วยก่อนทำหัตถการ อีกทั้งวิธีนี้ยังมีข้อจำกัดสำหรับผู้ป่วยบางกลุ่ม ได้แก่ ผู้ป่วยที่มีโลหะอยู่ในร่างกาย เช่น เคยได้รับการผ่าตัดใส่ลิ้นหัวใจเทียมหรือข้อเทียมโลหะ เนื่องจากโลหะในร่างกายของผู้ป่วยจะไปรบกวนการทำงานของคลื่นแม่เหล็ก ทำให้ไม่สามารถสร้างภาพต่อมลูกหมากออกมาได้รวมไปถึงผู้ป่วยที่รับประทานยาในกลุ่มยาละลายลิ่มเลือด ซึ่งหากจะเข้ารับการตรวจวินิจฉัยมะเร็งต่อมลูกหมาก โดยใช้ภาพเอกซเรย์คลื่นแม่เหล็ก ก็จะต้องหยุดรับประทานยาเหล่านั้นก่อนการทำหัตถการเป็นเวลาอย่างน้อย 7 วัน
ปัจจุบันหน่วยศัลยศาสตร์ระบบปัสสาวะ ฝ่ายศัลยศาสตร์ โรงพยาบาลจฬุาลงกรณ์ได้ใช้ภาพเอกซเรย์คลื่นแม่เหล็กในการตรวจวินิจฉัยมะเร็งต่อมลูกหมากให้กับผู้ป่วยไปแล้วมากกว่า 200 รายซึ่งการใช้เทคโนโลยนี้ ช่วยให้แพทย์สามารถตรวจพบมะเร็งได้เร็วขึ้น ทำให้ผู้ป่วยได้เข้าสู่ระบบการรักษาเร็ว ส่งผลให้คุณภาพชีวิตของผู้ป่วยภายหลังการรักษาดีขึ้นอย่างมาก นพ.จุลินทร์ กล่าวเสริมว่า เบื้องหลังความสำเร็จของการวินิจฉัยมะเร็งต่อมลูกหมากโดยใช้ภาพเอกซเรย์คลื่นแม่เหล็ก นอกเหนือจากหน่วยศัลยศาสตร์ระบบปัสสาวะแล้ว ยังต้องขอขอบคุณฝ่ายรังสีวิทยาโดยเฉพาะอย่างยิ่ง พญ.เกวลี ศศิวิมลพันธ์ผู้เชี่ยวชาญสาขารังสีวิทยาวินิจฉัย ฝ่ายรังสีวิทยา โรงพยาบาลจุฬาลงกรณ์ที่ได้ทุ่มเททำงานในการสร้างภาพต่อมลูกหมากจากเอกซเรย์คลื่นแม่เหล็ก เพื่อให้แพทย์ผู้เชี่ยวชาญระบบทางเดินปัสสาวะได้ใช้เป็นแผนที่นำทางในการเจาะตัดชิ้นเนื้อจากต่อมลูกหมากของผู้ป่วยมาโดยตลอด
ทั้งนี้ การรักษามะเร็งที่ดีที่สุดคือการค้นพบผู้ป่วยที่เป็นโรคในระยะแรก เพื่อหวังผลในการรักษาให้หายขาด มีชีวิตยืนยาวขึ้นและมีคุณภาพชีวิตที่ดี หลังจากที่แพทย์วินิจฉัยได้แน่ชัดว่าผู้ป่วยเป็นโรคมะเร็งต่อมลูกหมากแล้ว แพทย์จะประเมินทางเลือกในการรักษาให้กับผู้ป่วย ซึ่งมีทั้งการผ่าตัดโดยใช้วิธีส่องกล้อง(LaparoscopicRadical Prostatectomy)การผ่าตัดโดยใช้แขนกลหุ่นยนต์ที่เรียกว่าดาวินชี (Robotic-assisted da VinciSurgery) การใช้รังสีรักษาการให้ยาเคมีบำบัด และการรักษาด้วยฮอร์โมน เป็นต้น โดยแต่ละวิธีในการรักษาขึ้นอยู่กับข้อบ่งชี้ต่างๆ เช่น ตำแหน่งที่พบมะเร็ง ขนาดและระยะของเซลล์มะเร็ง สภาพร่างกายและจิตใจของผู้ป่วย รวมถึงคุณภาพชีวิตของผู้ป่วยภายหลังการรักษา
